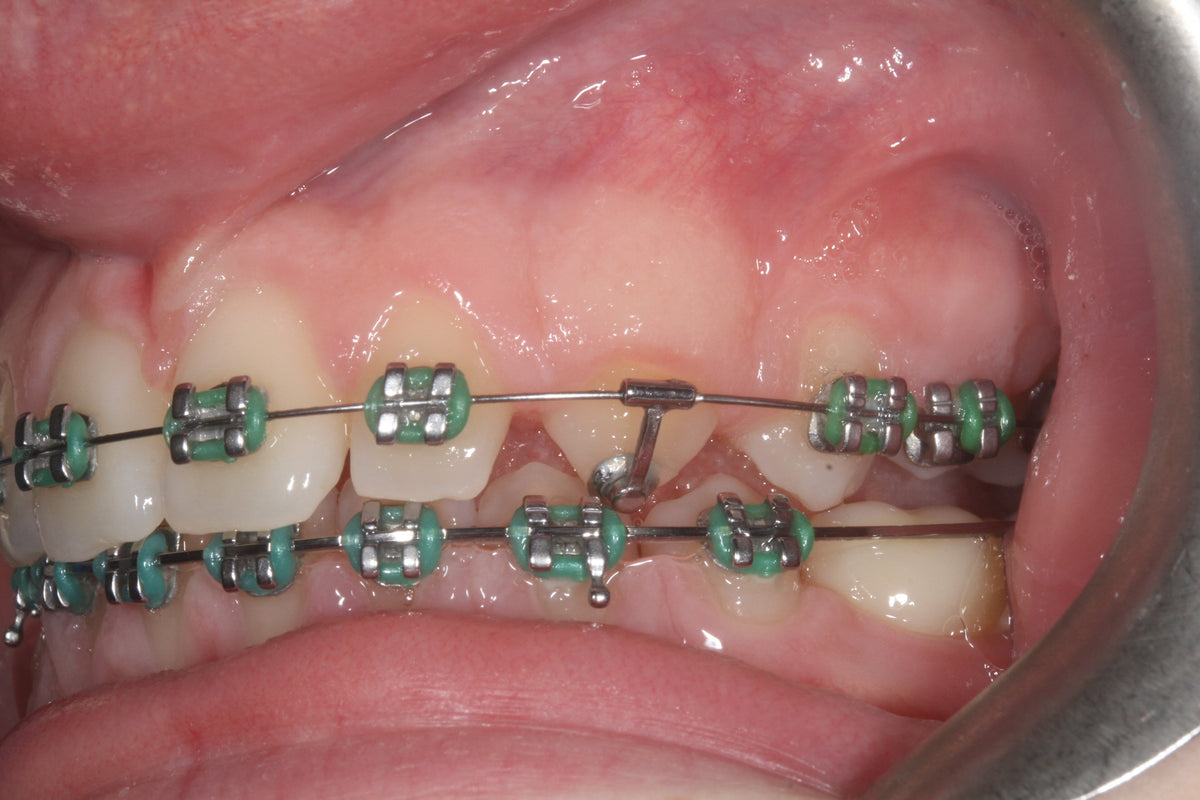
The Esmail Eruptor™
- The Esmail Eruptor eyelet is offset from the bonding pad allowing the tooth to be bonded as soon as it erupts but still allows full activation of the NiTi wire.
- No need for constant repositioning of the bracket which only allows 1-2mm of eruption.
- 80-guage mesh base Available with 1 or 2 tubes.
Ideal for canines and second premolars. - Available with 1 or 2 tubes.
- Ideal for canines and second premolars.
Single tube allows full activation in one visit.
Single Tube
Shop NowDouble tube allows sequential activation, perfect for those high canines which may need to be moved in stages.
Double tube
Shop Now
